――「脂肪肝ドック」を受けました。私はBMIと腹囲はギリギリ正常で、血液検査はいずれも異常ありませんでしたが、肝心のMRエラストグラフィの結果はどうだったでしょうか。

今城 そうですね。AST、ALT、ALP、γ-GTPも正常値で、貧血も炎症もなく、B型C型肝炎の感染もありません。血小板値は肝臓が硬くなると下がってくるのですが、こちらも正常です。

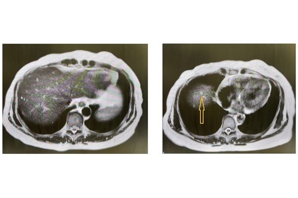
 まずMRIの画像で肝臓を見ると、肝嚢胞という水の塊がありますが、これは問題ありません。全体をくまなく見ても、悪いものはありませんね。周辺の臓器がはっきり見えるのも特長で、肝臓の右側(右葉)下方にある胆のうも正常です。

筆者の肝臓。右図の白く光っているのが肝嚢胞

 胃の裏側にあって見えにくい膵臓も全体がしっかり写るので、治療の難しい膵臓がんが見付かることもあります。十二指腸まで膵液を運ぶ膵管から膵臓がんができるので、膵管の出口まで確認します。がんができると太くなったり途絶したりしますが、きれいに見えますね。左右の腎臓にも腎嚢胞がありますが、肝嚢胞と同じく心配ありません。

 次に、脂肪定量画像(PDFF)で肝脂肪の量を見ましょう。

結果やいかに

――なんだか体重測定より緊張します!

今城 画像上の任意の場所を選択すると、脂肪のパーセンテージが表示されます。いろいろな場所を測ることができるので、いくつか見てみると2.82、2.4、3.76%……というぐあいに出てきますね。5%以下が正常値なので、脂肪肝ではないと言えます。

丸く選択されたROI内の脂肪の%を見る

――いよいよMRエラストグラフィの画像です。通常のMRI検査の後半にお腹に乗せたパッドがぶるぶる震えるだけで、特に苦痛や怖さもありませんでした。

今城 硬い部分は赤く、柔らかい部分は青く画像処理されます。小さく写っていますが、もともと正常でも硬い臓器の脾臓は、赤く写ります。坂元さんの肝臓は、ほとんどが青いので、柔らかく正常な状態です。他のデータと合わせても、脂肪肝や肝硬変ではありませんね。

筆者の肝臓は青かった。右の黄色で囲った部分が実質臓器の脾臓