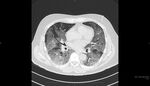
第3波到来するも重症化しにくくなったのはなぜ?
実録・新型コロナウイルス集中治療の現場から(第27回)
2020.11.26(木)
ここからは、JBpress Premium 限定です。
カンタン登録!続けて記事をお読みください。詳細はこちら
次の記事へ
コロナが浮き彫りにしたリスク情報発信の難しさ
あわせてお読みください
本日の新着
明日の医療 バックナンバー
来年開始の医学部定員削減で「地域医療崩壊」に現実味、この課題に医学部受験専門予備校「京都医塾」が取り組む理由
三重 綾子
【アルコールは発がん物質】アルコールの毒は一種類ではない、細胞の「傷つけ役」が体内で次々に増えていく怖さ
齊藤 康弘
【高額療養費制度見直し】「財源に限りが、だから困っている人だけ助ける」では救われない重病・難病患者が続出する
坂元 希美
身体がほとんど動かない重度障害の患者との意思疎通は可能か?微かな動きから読み取る人々と動かない身体が語ること
長野 光 | 西村 ユミ
ワンちゃんネコちゃん向けのAIロボット手術が登場、航空機のパイロットのように獣医師が自動操縦で手術も
星 良孝
エムポックス1bが日本初確認、WHOが緊急事態を解除した直後に走る緊張、今の状況はどうなっている?
星 良孝




