次の記事へ
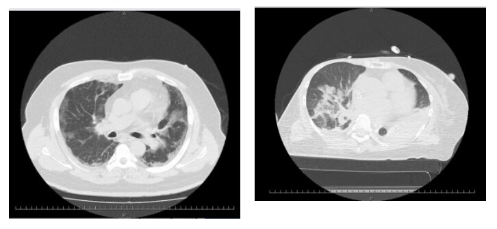
実は死亡者の多いオミクロン株、軽症・弱毒は大うそ
本日の新着
それでも退職代行・引き止めサービスが活況を呈する背景と問題点、会社と社員の意思疎通はなぜ壊れるのか
川上 敬太郎
【高齢者連れ去り・江東区①】97歳女性を自治体が誘拐?警察が令状なしでカギを壊し…娘も連絡取れず行方不明
フロントラインプレス | 西岡 千史
「エモグラム」記事盗用問題、1年前の毎日新聞に学べなかった産経新聞、経営難の2社で続いた不祥事は偶然ではない
【西田亮介の週刊時評】PV狙ってスベる新聞社、「戦略的撤退」が検討される時期にきた
西田 亮介
米国の対中半導体規制、中国に深刻な打撃 先端AIチップ不足で政府が供給配分に介入
ファーウェイ優先も、現場は密輸や「力任せ」の打開策 米国内では規制継続めぐり論争
小久保 重信









